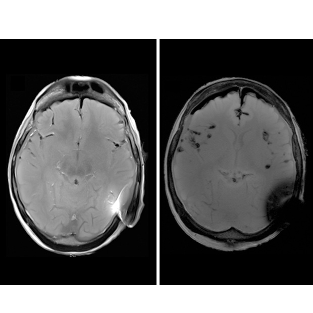
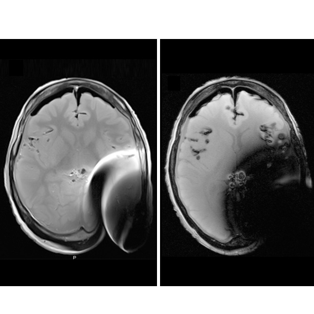
In fact, when asked radiologists stated that they could not make an accurate diagnosis from images scanned with 3 Tesla with the magnets in place because of the interference created by the magnets7 (see table below). This can be clearly seen on figure 1 of the MRI head scan, where the magnet creates artefacts. When this happens, the magnet has to be removed. For this reason, its ease of removal is an important factor when considering an implant.
 
Summary of the visibility of the rated anatomical structures at the side of the cochlea implant; with and without magnet at 1.5T and 3T.
 
 
Ref: Wagner, F., Wimmer, W., Leidolt, L., Vischer, M., Weder, S., Wiest, R., Mantokoudis, G. and Caversaccio, M.D., 2015. Significant artifact reduction at 1.5 T and 3T MRI by the use of a cochlear implant with removable magnet: an experimental human cadaver study. PloS one, 10(7), p.e0132483.
 
Neuro Zti – direct, easy and quick magnet removal
The Neuro Zti is 3 Tesla compatible without magnet and is designed for easy magnet removal under local anesthesia with only a small skin incision.  The implant is attached using screws and not drilled into the skull. With the dedicated Oticon Medical surgical tool, the magnet is removed in a few steps and can then be replaced again after the scan. 
 

The dedicated surgical tool simplifies magnet removal 
 
Furthermore, the Neuro Zti implant magnet can be removed multiple times without damaging the body of the implant. This can be an issue for CI magnets cased in silicone that can loosen over time causing the magnet to flip and migrate8. For younger cochlear implant patients who are likely to undergo several MRI scans during their lifetime, ease of removal should be part of the decision making process when choosing an implant system.